OPU

Startseite/Veterinär-Ultraschallgeräte

Ovum Pick-Up

System zur ultraschallgestützten Kontrolle des Verfahrens Ovum Pick-Up

Produktbeschreibung

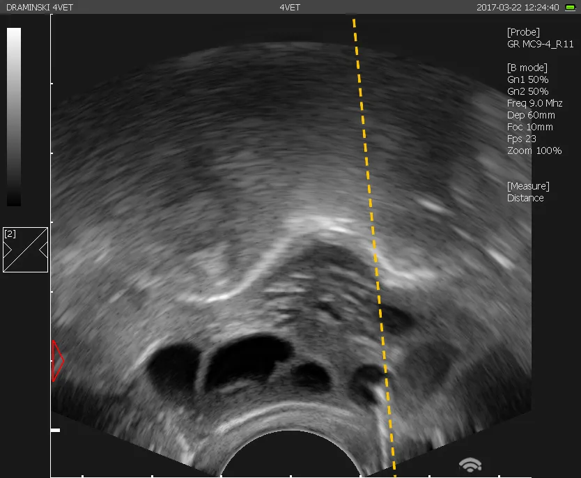
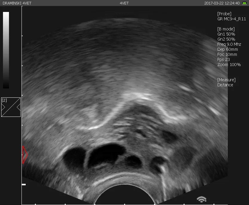
WAS IST OPU?

Ovum Pick-Up (OPU) ist eine der am schnellsten wachsenden Techniken in der Tierreproduktionsbiotechnologie. Sie trägt zur Verbesserung des genetischen Werts einer Herde bei. Die Materialentnahme erfolgt bei Spenderinnen mit höchster genetischer Qualität, um die jährliche Nachkommenzahl zu erhöhen. Während des Eingriffs zur Entnahme der Eizelle aus dem Eierstock unter Ultraschallkontrolle verwendet der Spezialist die OPU-Pistole. Die Qualität der Oozyten wird unter dem Mikroskop beurteilt, die besten Zellen werden für die In-vitro-Fertilisation ausgewählt und anschließend die Embryonen an Empfängerinnen übertragen. Der Eingriff gilt als sicher und kann mehrfach wiederholt werden.

Interessieren Sie sich für die Weiterentwicklung im Bereich der Reproduktion großer Tiere?

Wir haben ein Schulungsangebot mit Spezialisten im Bereich der assistierten Reproduktion von Pferden und Rindern vorbereitet. Sie lernen die Technik und die Vorbereitung des Arbeitsplatzes für das OPU-Verfahren kennen. Unsere Dozenten erklären Ihnen die Details zur Ultraschalluntersuchung sowie zum Laborteil. Wir arbeiten mit führenden Unternehmen zusammen, die Pumpen, Einwegmaterialien und Laborausrüstung liefern. Wir sind auf allen Kontinenten vertreten. Kontaktieren Sie uns, um weitere Informationen zu erhalten.

Multifunktionale Dramiński OPU‑Pistole

Warum lohnt es sich, das OPU-System zu wählen?

Kompatibilität

Mehr

Kompatibel mit verschiedenen Nadelsorten, von 20G-Injektionsnadeln bis 12G-Doppelnadeln, sowie mit dem gesamten Sortiment an Schläuchen und Röhrchen, die für den Materialentnahmeprozess erforderlich sind.

Weniger

Leichtigkeit

Mehr

Hergestellt aus leichtem und leicht zu reinigendem Kunststoff.

Weniger

Montagefreundlich

Mehr

Schnelle Montage und Demontage

Weniger

Weites Sichtfeld

Mehr

Das Sichtfeld des Microconvex-Ultraschallkopfs beträgt 136 Grad.

Weniger
Technische Daten
Bildgebung

Notwendiges Set für die Arbeit:

System Ovum Pick-Up
  • Zweiteilige OPU-Verlängerung
  • Führung, Stabilisator und Griff
  • Hülse zur Stabilisierung des Nadelwegs
  • Aufsätze für verschiedene Nadeltypen
  • Befestigungsschrauben, Schraubendreher und Inbusschlüssel