Ultraschall bei der Verschluss kleiner Blutgefäße
Einer der am häufigsten durchgeführten Eingriffe in phlebologischen oder ästhetischen Praxen ist der Verschluss kleiner Blutgefäße an den unteren Extremitäten, d. h. von Teleangiektasien und retikulären Venen. Derzeit stehen mehrere Methoden zur Verfügung, die es ermöglichen, erweiterte Blutgefäße zu verschließen und sowohl einen therapeutischen als auch ästhetischen Effekt zu erzielen. Leider sind die Ergebnisse der durchgeführten Eingriffe trotz der Anwendung verschiedener Methoden und Geräte oft nicht zufriedenstellend. Ein wesentlicher Faktor, der die Wirksamkeit der Eingriffe erheblich beeinflusst, ist die komplexe Anatomie des Venensystems und das Fehlen einer Methode, die eine genaue Bestimmung des Verlaufs des Gefäßes, seines Durchmessers, der Lage in der Haut usw. ermöglicht. Eine Methode, die eine präzise Bestimmung des Gefäßverlaufs sowie die Messung grundlegender Parameter wie Gefäßdurchmesser, Tiefe in der Haut und Vorhandensein oder Fehlen des Blutflusses ermöglicht, ist die Hochfrequenz-Ultraschalluntersuchung. Durch die ultrasonografische Darstellung der Gefäße mit Hochfrequenzsonden kann die geeignete Behandlungsmethode sowie die Eingriffsparameter gewählt und somit die Effektivität des Eingriffs erhöht werden. Ultraschall wird auch zur Überwachung der durchgeführten Eingriffe eingesetzt.
Gefäßprobleme der unteren Extremitäten treten sehr häufig auf. Es wird geschätzt, dass etwa 40–50 % der Bevölkerung (1) Probleme mit dem Venensystem der Beine haben. Das unästhetische Erscheinungsbild der Beine mit zahlreichen Teleangiektasien und retikulären Venen stellt nicht nur ein kosmetisches Problem dar, sondern kann auch zu ernsthaften gesundheitlichen Problemen führen. Eingriffe zum Verschluss kleiner Blutgefäße, umgangssprachlich „Besenreiser“ genannt, gehören zu den am häufigsten durchgeführten Behandlungen in phlebologischen Praxen und der ästhetischen Medizin. Die Mehrheit der Patientinnen und Patienten, hauptsächlich Frauen, akzeptiert die Gefäßveränderungen an den unteren Extremitäten nicht, und der Hauptgrund für die Therapie ist die Verbesserung ihres Erscheinungsbildes (2).
Gefäßveränderungen an den Beinen stehen in Zusammenhang mit Anomalien im oberflächlichen Venensystem oberhalb der Faszie. Die Ätiologie dieser Störungen ist komplex. Zu den häufigsten Ursachen venöser Störungen gehören genetische Faktoren, hormonelle Einflüsse, Adipositas, Lebensstil und Schwangerschaften. Diese Faktoren führen zu einer Insuffizienz der Venenklappen und Perforatoren, wodurch sich Blut in den Gefäßen staut, venöser Hochdruck entsteht und eine Gefäßerweiterung resultiert. Im oberflächlichen Venensystem unterscheidet man zwei Hauptvenen: die Vena saphena magna und die Vena saphena parva sowie zahlreiche Verbindungsvenen (Perforatoren) und kleine Blutgefäße (3). Um die Gefäße des oberflächlichen Venensystems zu systematisieren, ist es sinnvoll, eine Klassifikation zu verwenden, die fünf Gefäßtypen unterscheidet (4). Typ I umfasst rote Gefäße mit einem Durchmesser von bis zu 1 mm, also Teleangiektasien. Typ IA umfasst sehr kleine, rote Gefäße mit einem Durchmesser von weniger als 0,2 mm. Diese Gefäße treten sekundär auf (bei einigen Patienten nach durchgeführten Eingriffen) und werden nach ihrem englischen Namen als matting bezeichnet. Typ II sind violette Gefäße mit einem Durchmesser von 1–2 mm, die über die Hautoberfläche hinausragen. Typ III umfasst retikuläre Gefäße mit grün-blauer Färbung und einem Durchmesser von 2–4 mm. Typ IV sind Varizen, die nicht mit der Vena saphena magna verbunden sind, mit einem Durchmesser von 3–8 mm. Typ V sind Varizen der Vena saphena magna und parva mit blauer oder blau-grüner Farbe und einem Durchmesser über 8 mm.
Erweiterte Blutgefäße an den Beinen können mittels Sklerotherapie oder verschiedener Laserbehandlungen verschlossen werden. Leider ist die Wirksamkeit der Eingriffe nicht immer zufriedenstellend (2,5), was auf die komplexe Struktur des Venensystems, die Einschränkungen der Methoden zum Verschluss von Venen und das Fehlen einer Methode zur genauen Darstellung des Verlaufs der zu behandelnden Gefäße zurückzuführen ist. Besonders fehlen Instrumente zur Darstellung kleiner Blutgefäße. Daher ist die Suche nach einer Methode gerechtfertigt, die eine präzise Abbildung des Venensystems ermöglicht und somit die Effektivität der durchgeführten Eingriffe verbessert. Ein nützliches Werkzeug zur Darstellung kleiner Blutgefäße ist der Hochfrequenz-Ultraschall (high frequency ultrasound, HFU).
Für die vorliegende Arbeit wurden Ultraschallaufnahmen mit Hochfrequenzgeräten erstellt, nämlich Episcan mit mechanischer Sonde 50 MHz (Longport International, Großbritannien, USA), DermaMed mit mechanischer Sonde 48 MHz (Dramiński, Polen), Sonix mit elektronischer Lineararray-Sonde 40 MHz (Ultrasonix, Kanada).
Darstellung des oberflächlichen Venensystems
Eingriffe zum Verschluss kleiner Blutgefäße an den unteren Extremitäten sind nicht leicht durchzuführen, und die Erzielung für Patienten zufriedenstellender Ergebnisse ist oft schwierig. Eine genaue Diagnostik, die Lokalisierung des Problems und die Auswahl der geeigneten Methode sind daher unerlässlich.
Bei Patientinnen und Patienten, die den Verschluss kleiner Gefäße wünschen, ist eine ausführliche Anamnese erforderlich, um Informationen über familiäre Gefäßprobleme, Lebensstil, frühere Erkrankungen sowie mögliche Symptome zu erhalten, die auf eine chronische Veneninsuffizienz hinweisen könnten. Anschließend wird eine klassische Doppler-Sonographie mit Breitband-Linearsonden von 5–12 MHz durchgeführt. Die Doppler-Untersuchung ist entscheidend für die korrekte Diagnose und die Planung der weiteren Behandlung. Weiss betont, dass eine Doppler-Ultraschalluntersuchung ebenso unverzichtbar ist wie das Stethoskop bei einer Routineuntersuchung (6). Die Doppler-Sonographie ermöglicht die Beurteilung der Durchgängigkeit und Funktionsfähigkeit der Vena saphena magna und parva sowie die Lokalisierung insuffizienter Venen und Perforatoren. Bei nachgewiesener Insuffizienz der Vena saphena magna oder parva muss zuerst diese behandelt werden, bevor kleine Gefäße verschlossen werden. Der Verschluss von Teleangiektasien und retikulären Venen bei insuffizienten Hauptvenen ist sinnlos, da der Eingriff völlig ineffektiv sein kann.
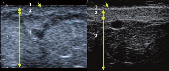
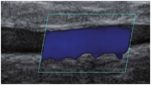
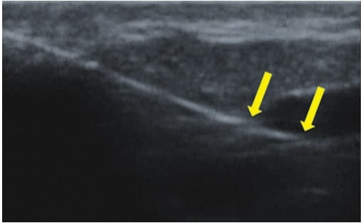
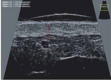
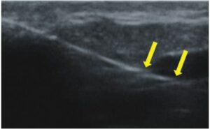
Die Doppler-Sonographie ermöglicht die Darstellung großer Gefäße und Perforatoren, die sich meist in tieferen Bereichen des subkutanen Gewebes befinden. Mit klassischem Ultraschall lassen sich kleinere Gefäße jedoch nicht darstellen. Für die Darstellung kleinerer Gefäße, die oberflächlich unter der Epidermis und im oberen subkutanen Gewebe liegen, wird HFU eingesetzt. Mit Sonden über 20 MHz Frequenz erhält man hochauflösende Ultraschallbilder, auf denen Objekte kleiner als 0,1 mm unterscheidbar sind. Mit zunehmender Auflösung nimmt jedoch die Eindringtiefe ab. Je nach Sonde und Gerät beträgt die maximale Eindringtiefe etwa 20–30 mm. Diese Eindringtiefe bei gleichzeitig hoher Bildauflösung ermöglicht die Beurteilung sehr kleiner Gefäße. HFU erlaubt die genaue Bestimmung des Verlaufs und der Lage kleiner Gefäße in der Haut, was entscheidend für die Wahl der Verschlussmethode und die Planung des Eingriffs ist. Oft sind an der Hautoberfläche nur wenige Gefäße sichtbar – erst durch die Ultraschalluntersuchung lässt sich die tatsächliche Anzahl und der Verlauf feststellen. Für einen erfolgreichen Verschluss muss das gesamte Gefäß behandelt werden, nicht nur der sichtbare Teil, da sonst eine schnelle Rekanalisation erfolgt (7). Häufig ändert das an der Haut sichtbare Gefäß seinen Verlauf, wird gewundener und zieht in tiefere Hautschichten (8). HFU ermöglicht zudem die Darstellung der Perforatoren zwischen kleinen Gefäßen und die Messung grundlegender Parameter wie Durchmesser, Wandstärke, Tiefe und Blutfluss (6). Mit der 40-MHz-Sonde von Ultrasonix kann auch der Blutfluss mittels Farbdoppler visualisiert werden.
Verfahren zum Verschluss kleiner Gefäße
Derzeit werden kleine Blutgefäße mittels Mikrosklerotherapie, transkutanen Laserbehandlungen und mikroendovaskulären Eingriffen verschlossen (7).
Laserbehandlungen
Transkutane Laserbehandlungen zum Verschluss von Gefäßen gewinnen an Popularität. Dabei wird Lichtenergie von Hämoglobin in den Erythrozyten absorbiert und in Wärme umgewandelt, was die Gefäßwand koaguliert. Bei kleinen Teleangiektasien ist der Effekt sofort sichtbar, bei retikulären Venen erfolgt der Verschluss erst Wochen nach dem Eingriff (9). Der Erfolg hängt von den gewählten Parametern ab. Die genaue Bestimmung der Gefäßtiefe und des Durchmessers ist entscheidend. HFU ermöglicht präzise Messungen, auf deren Grundlage Laserart, Wellenlänge, Impulsdauer, Spotgröße und Energiedichte festgelegt werden (7). HFU dient auch der Überwachung der Korrektheit und Wirksamkeit des Eingriffs.
Sklerotherapie
Sklerotherapie verschließt Gefäße durch Injektion eines chemischen Obliterans. Sie ist kostengünstig und relativ einfach durchzuführen. Hauptsächlich für retikuläre Venen >3 mm, kann aber auch bei kleineren Gefäßen eingesetzt werden (10). Bei Gefäßen <3 mm ist die Punktion schwierig, wodurch Komplikationen wahrscheinlicher werden (7). HFU hilft hier, den Gefäßverlauf exakt darzustellen und den Eingriff unter Ultraschallkontrolle durchzuführen, wodurch das Risiko einer Nekrose durch Fehlinjektion minimiert wird. HFU überwacht zudem die Wirksamkeit des Eingriffs.
Mikroendovaskulärer Eingriff
Dieses Verfahren überträgt intravaskuläre Techniken aus der Behandlung großer oberflächlicher Venen auf die Mikroebene. Ein Laserfaser wird in das Gefäß eingeführt und koaguliert das Gefäß mit Laserenergie (7,11). HFU ist für die korrekte Durchführung unerlässlich, da es Verlauf, Anatomie, Faserposition, Koagulation und Erfolg des Eingriffs überwacht.
Zusammenfassung
Diese Arbeit behandelt die Anwendung von HFU zur Darstellung und zum Verschluss kleiner Venen, d. h. Teleangiektasien und retikulärer Venen. Hochfrequenzsonden >20 MHz ermöglichen die Ultraschalldarstellung der Gefäße in der Dermis und subkutanen Gewebe, was mit klassischen Sonden nicht möglich ist. Ultraschall erfüllt die Erwartungen von Chirurgen und Phlebologen, die bisher keine Möglichkeit hatten, kleine Gefäße zu beurteilen. Traditionelle Durchlichtgeräte waren nur begrenzt einsetzbar, da sie nur oberflächliche Gefäßverläufe zeigten (12). Die Beurteilung von Verlauf, Durchmesser und Tiefe ist entscheidend für die Wahl der Therapie, steigert die Effektivität der Eingriffe und reduziert Komplikationsrisiken. Beim Laser entscheidet das Ultraschallbild über die Wahl des Lasers und die Eingriffsparameter (7). HFU ist auch ein wichtiges Werkzeug zur Überwachung von Eingriffen. Ohne Ultraschallkontrolle wären mikroendovaskuläre Eingriffe oder Mikrosklerotherapie praktisch unmöglich, da sonst ein hohes Risiko für Nekrosen durch Fehlinjektionen besteht.
Hochfrequenz-Ultraschall ist eine nützliche Methode zur Darstellung kleiner Gefäße. Aufgrund der geringen Kosten, Nicht-Invasivität, Mobilität, einfachen Durchführung und Wiederholbarkeit bei Patientensicherheit hat HFU das Potenzial, sich durchzusetzen und in den Alltag einzutreten.
Interessenkonflikt
Die Autoren geben keine finanziellen oder persönlichen Verbindungen zu Personen oder Organisationen an, die den Inhalt der Veröffentlichung negativ beeinflussen könnten.
Literatur
- Munavalli GS, Weiss RA: Symptome venöser Erkrankungen
. In: Alam M, Nguyen TH (Hrsg.): Behandlung venöser Erkrankungen der unteren Extremitäten. Elsevier Urban & Partner, Wrocław 2009: 11–25.
- Rohrer TE, Geronemus RG, Berlin AL: Gefäßveränderungen. In: Goldberg DJ (Hrsg.): Laser und Licht. 1, Elsevier Urban & Partner, Wrocław 2009: 1–16.
- Somjen GM: Anatomy of the superficial venous system. Dermatol Surg 1995; 21: 35–45.
- Weiss AR, Weiss MA: Painful telangiectasias: diagnosis and treatment. In: Bergan JJ, Goldman MP (Hrsg.): Varicose Veins and Telangiectasias: Diagnosis and Treatment. Quality Medical Publishing, Inc., St. Louis 1993: 389–406.
- McCoppin HH, Hovenic WW, Wheeland RG: Laser treatment of superficial leg veins: a review. Dermatol Surg 2011; 37: 729–741.
- Weiss RA: Patientenuntersuchung: Anamnese und körperliche Untersuchung. In: Alam M, Nguyen TH (Hrsg.): Behandlung venöser Erkrankungen der unteren Extremitäten. Elsevier Urban & Partner, Wrocław 2009: 27–41.
- Mlosek R: Nutzen der Ultraschalluntersuchung beim Verschluss kleiner Blutgefäße. In: Mlosek R: Haut- und subkutanes Gewebe mit klassischem Ultraschall und Hochfrequenz-Ultraschall darstellen und deren Nutzen in Kosmetik und ästhetischer Medizin. Warszawskie Uniwersytet Medyczne, Warszawa 2012: 133–154.
- Hsu J, Bhatia A, Weiss R: Venen der unteren Extremitäten. In: Goldberg DJ (Hrsg.): Laser und Licht. Vol. 1, Elsevier Urban & Partner, Wrocław 2009.
- Bogle M, Sadick N: Laserbehandlungen. In: Alam M, Nguyen TH (Hrsg.): Behandlung venöser Erkrankungen der unteren Extremitäten. Elsevier Urban & Partner, Wrocław 2006: 101–118.
- Duffy DM: Sklerotherapie. In: Alam M, Nguyen TH (Hrsg.): Behandlung venöser Erkrankungen der unteren Extremitäten. Elsevier Urban & Partner, Wrocław 2006: 67–99.
- Sznelewski P, Rybak W: Hochenergetische Lichttherapie in der Phlebologie. In: Rybak Z (Hrsg.): Phlebologie – Neuigkeiten? Cornetis, Wrocław 2012: 191–197.
- Pszenny C: Gefäßprobleme der unteren Extremitäten. In: Mamcarz B, Prandecka D (Hrsg.) Ästhetische Medizin in der Praxis. Vol. 1, Medical Education Sp. z o.o., Warszawa 2010: 133–142.
Robert Krzysztof Mlosek1, Sylwia Malinowska2
- Abteilung für medizinische Bildgebung, Zweite Fakultät für Medizin, Medizinische Universität Warschau, Warschau, Polen
- Life-Beauty private partnership, Grodzisk Mazowiecki, Polen. Korrespondenz: Department of Medical Imaging, Second Faculty of Medicine, Medical University of Warsaw, Kondratowicza 8, 03-242 Warschau, Polen
